Our Specializations
Comprehensive Dental Services and Treatment
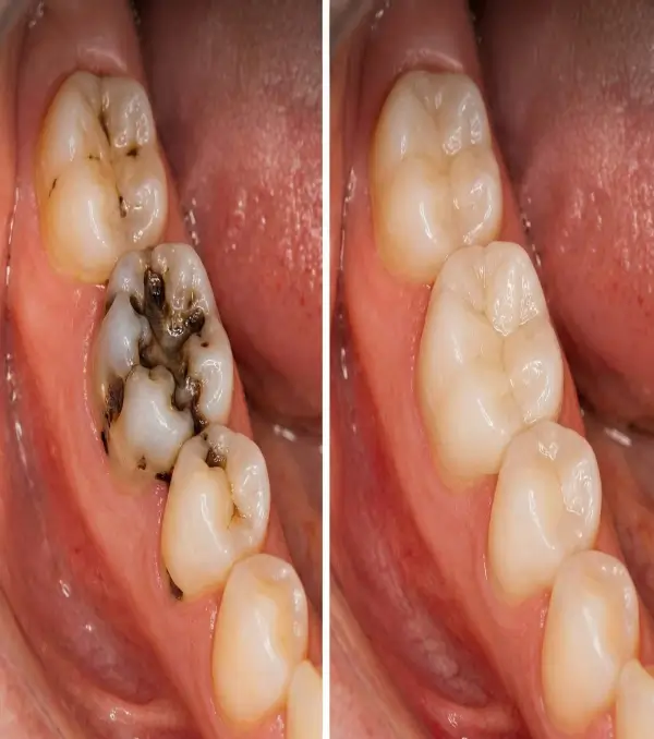
Tooth in 1 Hour
Aesthetic Filling
Laminate / Veneers
Root Canal Treatment
Root Canal Treatment
Advanced root canal care to remove infection, save natural teeth, and relieve severe tooth pain.
Aligner / Invisalign
Aligner / Invisalign
Clear, removable aligners that straighten teeth comfortably without metal braces or lifestyle restrictions.
Dental Implants
Dental Implants
Dental implants is the most advanced treatment option , modern dentistry has to offer for the replacement of missing teeth.
Flap Surgery
Flap Surgery
Flap surgery treats advanced gum disease by repositioning receded gums to improve tooth support and stability.
Impaction/Wisdom Tooth Removal
Impaction/Wisdom Tooth Removal
Safe and painless removal of impacted or wisdom teeth to relieve pain, prevent infection, and protect surrounding teeth.
Smile Design
Smile Design
Smile is a person’s ability to express a range of emotions with the structure and movement of the teeth and lips.
Crown and Bridges
Crown and Bridges
Crowns and Bridges or Fixed Prosthodontics is the art and science of restoring damaged teeth and of replacing missing teeth with fixed prosthesis.
Why Choose Us ?
Expert Dental Care You Can Trust
At Wisdom Bites Dental Clinic & Implant Centre, we believe every patient deserves exceptional dental care delivered with compassion and precision. Led by Dr. Vineet Jain, our clinic combines years of expertise with state-of-the-art technology to ensure safe, comfortable, and long-lasting treatment outcomes.
We focus on personalised dental solutions—from routine check-ups to advanced smile makeovers—designed to match your individual needs. Our gentle approach, transparent treatment plans, and patient-first philosophy create an experience built on trust, comfort, and lasting relationships.

