Aesthetic fillings
Aesthetic fillings, also known as tooth-colored or composite fillings, are a modern dental solution designed to restore decayed or damaged teeth while maintaining a natural appearance. At Wisdom Bites Dental Clinic, we use high-quality, mercury-free materials that blend seamlessly with your natural teeth, ensuring both durability and aesthetics.
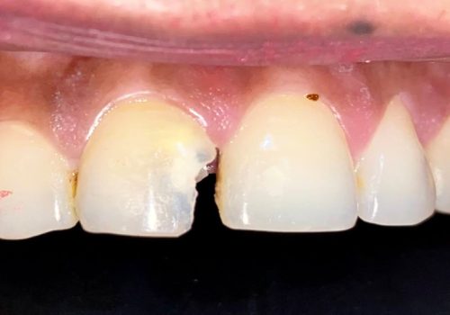
These fillings are ideal for repairing cavities, minor cracks, chipped teeth, and worn-out restorations. With advanced technology and strict hygiene protocols, we ensure long-lasting results that feel comfortable and look completely natural. At Wisdom Bites, your smile is restored with care, confidence, and cosmetic excellence.
Why Us?
Expert Team
“Patient visited our clinic with a decayed tooth. With aesthetic filling treatment, the cavity was treated and the tooth was restored to its natural shape and appearance.“

Before

