Smile Design
You may have great teeth but you can still be unhappy with your smile, ‘Smile Design’ is exactly what it says, you choose the smile you want.
Smile is a person’s ability to express a range of emotions with the structure and movement of the teeth and lips, and can often determine how well a person can function in society. Harmonizing an aesthetic smile requires a perfect integration of facial composition and dental composition. Bright confident smile, will raise your self-esteem, make you feel attractive and increase your chances of success.
We at Wisdom Bites Dental Clinic carefully diagnose, analyse and deliver the best to our patients. The smile designing done by us is as conservative as possible .Our aim has been less dentistry with maximum results. Cosmetic dentistry is a multispecialty branch, wherein all treatments like orthodontics, periodontics, surgical procedures have to be performed whenever deemed necessary.
In smile makeover there are many aspects that are taken in to consideration, such as your facial appearance, skin tone, teeth characteristics like (colour, width, shape etc.), gum tissues and lips. These aspects are all part that is looked at by us to create the perfect smile, which is customised according to your consideration.
The smile makeover includes the following treatments to improve your smile:
Alignment and spacing of the teeth that are crooked and overlapping ,teeth having noticeable gaps can be aligned and straightened through orthodontics and improved by use of invisalign braces.
Change of silver or old amalgam fillings with natural tooth coloured fillings, while adopting teeth whitening method will help to improve discoloured, stained teeth.
The colour and shading of the tooth is an important phase for the preparation of further treatment procedures that include porcelain veneers, dental crowns, bridges, composite bonding and dental implants.A pure change of tone from discoloured teeth to whiter teeth will lead to the perfect smile with a youthful appearance. The shades we select for teeth whitening and veneers to fit with the tone colour of your face is done with utmost care.
Missing teeth can be replaced by dental implants, crowns & bridges or partial dentures.
Chipped, broken teeth can be repaired – the treatment will depend on the extent of damage, but the options include cosmetic bonding, porcelain veneers or porcelain crowns.
If you have a gummy smile, this can easily be remedied by surgical or laser gum contouring.
Why Us?
Trusted dental care focused on comfort, confidence, and lasting results.
Expert Team
Experienced specialists delivering precise, safe, and reliable dental care.
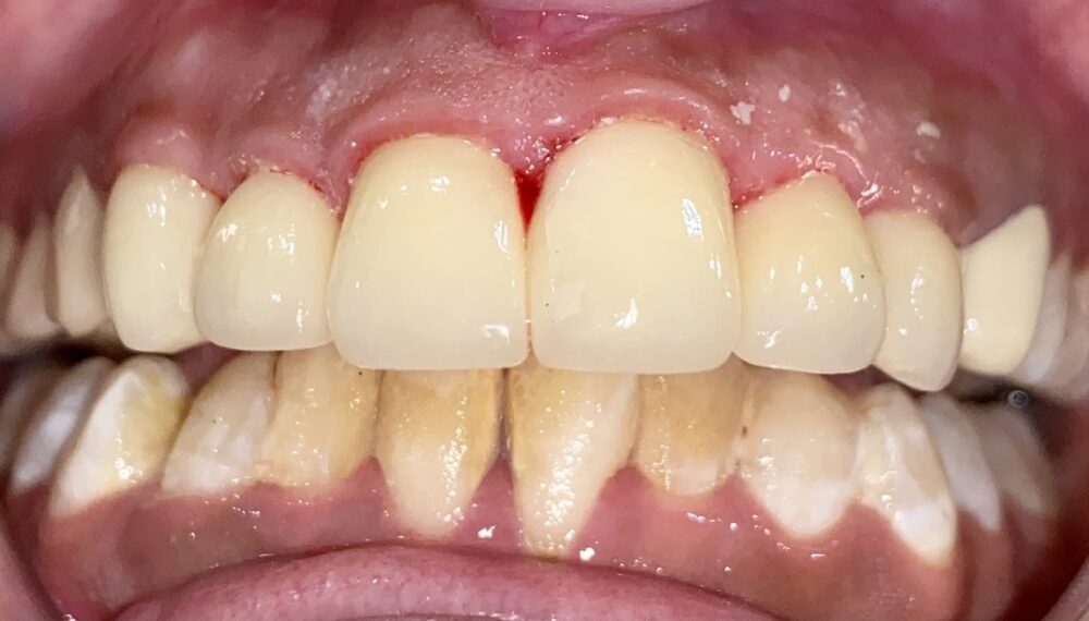
“Patient came to our clinic with uneven and dull teeth. With smile design treatment, the smile was beautifully transformed to look brighter and more confident.“

Before

After

Before

After
Natural Comfort
Strong & Long-Lasting
Secure & Stable Options
FAQ's ~
Frequently Asked Questions
Smile design is a customized cosmetic dental treatment that improves the appearance of your smile by enhancing the shape, size, color, and alignment of teeth according to your facial features.
Smile design may include teeth whitening, veneers, laminates, crowns, aligners, and gum contouring. The treatment plan is personalized based on individual needs.
Most smile design procedures are minimally invasive and painless. Local anesthesia may be used for specific treatments to ensure comfort.
The duration varies depending on the procedures involved. Some smile makeovers can be completed in a few visits, while others may take several weeks or months.
Smile design results are long-lasting with proper oral hygiene and regular dental check-ups. The durability depends on the treatments performed and patient care.
Anyone unhappy with their smile due to stains, gaps, crooked teeth, or uneven gums can benefit from smile design after a dental evaluation.
