Crowns and Bridges
Crowns and Bridges or Fixed Prosthodontics is the art and science of restoring damaged teeth and of replacing missing teeth with fixed prosthesis. Successfully treating a patient by means of crown and bridges require a thoughtful combination of patient education, sound diagnosis, operative skills, occlusal considerations and sometimes periodontal therapy and endodontic treatments.
Crown is actually like a cap which covers the damaged tooth and, or root canal treated tooth and gives protection to the tooth and strengthens it. In case of bridge prosthesis where one or more teeth are missing; adjacent teeth are cut and capped to provide support for the missing tooth.
At Wisdom Bites Dental Clinic and Implant Center we take a very personalized but scientific approach for every patient. Patient with missing tooth (trauma) is not only emotionally comforted but a staged treatment plan is presented in simple understanding manner.
Dr Jain who is a consultant prosthodontist believes that crown and bridge restoration in the field of dentistry , can be the finest service or worst disservice rendered to a dental patient. The path taken depends on once knowledge of sound biological and mechanical principles, development of a critical eye and sound judgement for assessing details. Modern dentistry has much to offer in terms of variety of materials available with increased emphasis on esthetic restorations. All ceramic crown and bridge ( zirconia) are made for use in both anterior and posterior situations. Recent CAD-CAM restorations like Procera, Lava and Cercon have revolutionized the way the teeth are restored esthetically.
Why Us?
Trusted dental care focused on comfort, confidence, and lasting results.
Expert Team
Experienced specialists delivering precise, safe, and reliable dental care.
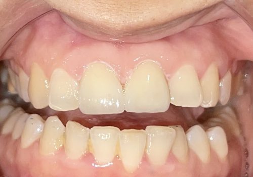
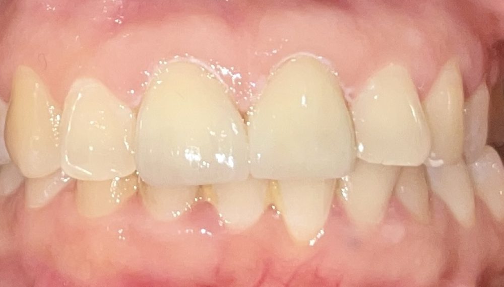
“Patient visited our clinic with damaged and missing teeth. After crown and bridge treatment, the teeth were restored, improving both function and appearance.“

Before

After
Natural Comfort
Strong & Long-Lasting
Secure & Stable Options
FAQ's ~
Frequently Asked Questions
Dental crowns are caps placed over damaged or weak teeth to restore their strength, shape, and appearance. Bridges are used to replace one or more missing teeth by anchoring to adjacent teeth or implants.
Crowns are recommended for cracked, decayed, or root canal–treated teeth. Bridges are suggested when one or more teeth are missing and implants are not suitable or preferred.​
No. The procedure is performed under local anesthesia, ensuring comfort throughout the treatment. Mild sensitivity after the procedure is normal and temporary.
With proper care and regular dental check-ups, crowns and bridges can last 10–15 years or more. Their lifespan depends on oral hygiene and chewing habits.
Yes. Modern crowns and bridges are designed to match the color, shape, and size of natural teeth, providing a seamless and natural-looking smile.
Brush and floss regularly, clean under the bridge using special floss if advised, avoid chewing very hard foods, and visit your dentist for routine check-ups.
