Bleaching
Bleaching /teeth whitening is a highly effective and affordable procedure that lightens and whitens teeth.Teeth whitening can make your smile look more attractive and younger .Teeth tend to get discoloured due to aging, by medications, stained by beverages such as tea and coffee. However it is important to know that results of the whitening treatment are different in all individuals and subjective to the patient expectations .Teeth whitening can be done directly in our office, at home or a combination of the two methods. At Wisdom Bites we know that “a smile can say a thousand words”, so we strive hard to give back to you a confident and bright smile.
Home Bleaching :
The procedure is a simple and painless procedure that can be done at home by the patient himself with the help of bleaching trays which are provided along with bleaching agents to the patient. The patient uses these bleaching trays overnight. With constant monitoring the bleaching is generally completed in 3-4 sessions(10-15 days). However, home bleaching is not as effective as office bleaching.Office Bleaching :
The procedure is done at the dental clinic by the dentist. It is usually a single sitting procedure where desired result is immediate. The bleaching procedure usually takes 20-30 min. First the cleaning is done to remove the adherent pellicle and then bleaching agent is applied and finally polishing done to achieve the shining and beautiful smile.
So come and get an appointment today to change the way you smile !!!
Why Us?
Expert Team
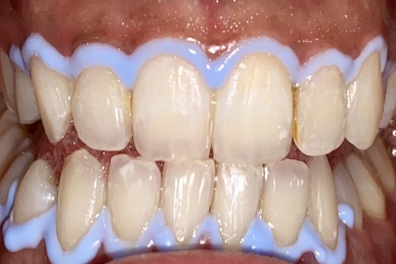
“Patient visited our clinic with stained and yellow teeth. After professional bleaching treatment, the teeth became noticeably whiter and the smile looked brighter.“

Before

After

Before

