Denture
At Wisdom Bites Dental Clinic and Implant Center we make dentures that let you talk, smile and laugh and give you confidence to eat your food and make you feel secure.
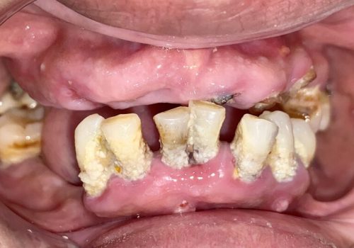
Dr Jain is a consultant prosthodontist with special expertise in making partial and complete dentures. He has a satisfied patient list of more than 100 patients. According to Dr Jain “ Denture making is a highly specialized treatment modality. The whole procedure of denture making is a multiple session program guided by sound scientific principles and guidelines.” Loss of teeth is not just a functional and esthetic loss but an emotional loss too. At Wisdom Bites we understand our patients and fabricate dentures that provide functional , psychological and esthetic fulfillment.
There are different types of denture related problems that are managed like partial denture with few remaining teeth. Also patients have multiple options like acrylic dentures, flexible dentures and cast metal dentures. Today we also have the option of fixing the dentures in the mouth using Dental Implants (Implant supported dentures). So, come and experience the difference.
Why Us?
Trusted dental care focused on comfort, confidence, and lasting results.
Expert Team
Experienced specialists delivering precise, safe, and reliable dental care.
Better Oral Health with the Right Replacement
Replacing missing teeth prevents long-term issues like shifting teeth, bone deterioration, and bite imbalances. With proper care, dentures and tooth replacements can last for many years, maintaining your oral function and comfort. Regular check-ups help ensure a secure fit and ongoing oral health.

Before


