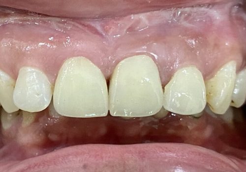
Laminate / Veneers

Laminate-IMG_3537

Laminate / Veneers

Laminate veneers are ultra-thin, custom-made shells designed to cover the front surface of teeth and instantly enhance your smile. At Wisdom Bites Dental Clinic, we offer advanced porcelain and composite veneers that correct imperfections such as stains, gaps, chipped teeth, uneven shapes, and mild misalignment with natural-looking results.
Our veneer treatment begins with a detailed smile assessment to understand your facial features, bite, and aesthetic goals. Minimal tooth preparation is done to preserve natural tooth structure, followed by precise placement of veneers that blend perfectly with surrounding teeth. The procedure is comfortable, safe, and delivers long-lasting cosmetic improvement.
Laminate veneers are highly stain-resistant and durable, making them an excellent solution for patients seeking a confident, radiant smile. With modern technology, expert craftsmanship, and personalized care, Wisdom Bites ensures veneers that look natural, feel comfortable, and enhance your overall appearance.
With proper care and oral hygiene, laminate veneers can provide durable, stain-resistant, and confidence-boosting smile transformations for many years.
Benefits of Laminate / Veneers
Instantly improves smile aesthetics
Natural-looking and stain-resistant
Long-lasting cosmetic solution

Why Us?

Trusted dental care focused on comfort, confidence, and lasting results.

Expert Team

Experienced specialists delivering precise, safe, and reliable dental care.

Better Oral Health with the Right Replacement

Replacing missing teeth prevents long-term issues like shifting teeth, bone deterioration, and bite imbalances. With proper care, dentures and tooth replacements can last for many years, maintaining your oral function and comfort. Regular check-ups help ensure a secure fit and ongoing oral health.

Laminate-IMG_3531

Before

Laminate-IMG_E3602

After